치주염증상은 가장 흔한 치과적 문제 중 하나로, 적절한 치료가 필요합니다. 이 글에서는 치주염증상과 그 치료법, 그리고 빠른 대처 방법에 대해 자세히 설명하겠습니다.
치주염증상: 이해와 인식
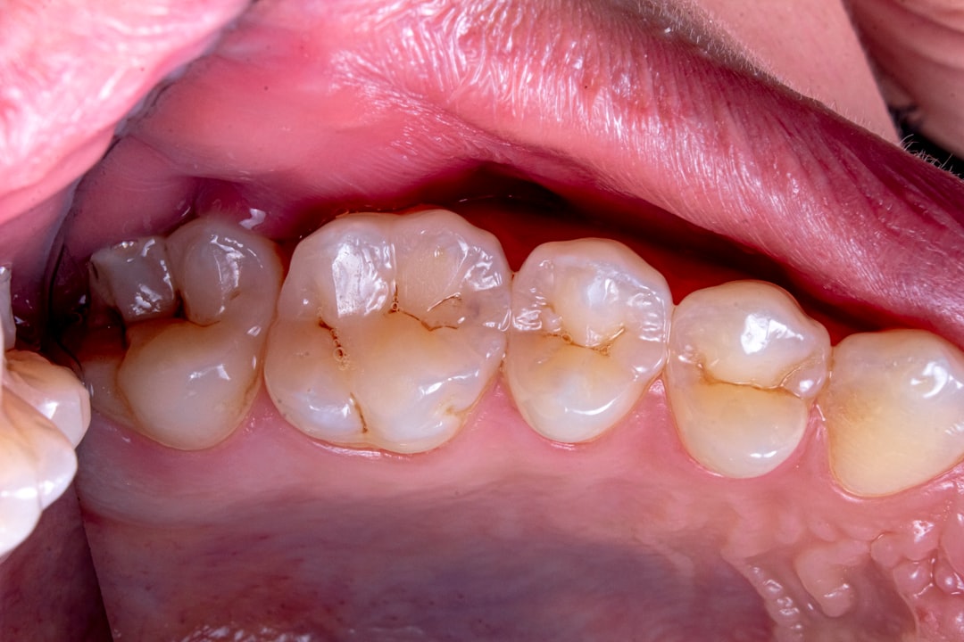
치주염증상은 잇몸에 발생하는 염증으로, 초기에는 별 다른 통증이 없어 쉽게 간과되기 십니다. 이러한 상태는 잇몸의 붉어짐, 부풀어 오름, 그리고 출혈로 나타납니다. 많은 사람들이 이러한 치주염증상을 단순한 구강 위생 문제로 치부하곤 하지만, 기본적으로 건강에 큰 영향을 미칠 수 있습니다. 초기 증상에 주의를 기울이지 않으면 상태가 악화될 수 있습니다. 따라서 조기 발견이 무엇보다 중요합니다, 이 때문에 치주염증상에 대한 인식을 높이는 것이 필수적입니다.

예를 들어, 고양이의 경우도 고양이 치주염 증상은 잇몸의 붉어짐과 같은 모습으로 나타납니다. 사람과 마찬가지로 고양이의 치아 및 잇몸 건강은 전반적인 건강에 영향을 미칠 수 있습니다. 특히 애완동물이 살고 있는 환경이 위생적이지 않다면 더욱 빠르게 치주질환에 걸릴 수 있습니다. 이러한 면에서 반려동물을 기르는 이들은 반려동물의 치주염증상도 주의 깊게 살펴봐야 합니다.
잇몸의 붉어진 부분이 단순한 염증으로 남아있지 않도록 해야 합니다. 치주염증상이 지속되면 잇몸이 후퇴하고 치아의 흔들림을 경험할 수 있습니다. 이를 통해 많은 순간에 불편함을 초래하게 되고, 결국 치아를 잃을 수도 있습니다. 이러한 심각성을 제대로 알면 치주염증상 발생 시 신속한 대처가 가능합니다.
정상적인 구강 관리 습관을 유지하면 치주염증상을 예방하는 데 큰 도움이 됩니다. 정기적으로 치과 검진을 받고, 스스로 잇몸 상태를 점검하는 것은 여러분의 건강 유지에 크게 기여합니다. 구강 헬스케어의 중요성을 잊지 말아야 합니다.
치주염증상에 대한 효과적인 치료법
치주염증상이 확인되었다면 적절한 치료 방법이 필요합니다. 일반적으로 치주 치료는 전문적인 청소 및 잇몸 치료를 포함합니다. 치과 의사는 부위의 플라크와 타르타르를 제거하고 염증을 치료하기 위한 다양한 방법을 제안할 수 있습니다. 치주염증상의 치료는 통증을 줄이고 염증을 완화하는 데 주요한 역할을 합니다.
상태에 따라 약물을 활용하기도 합니다. 이는 뼈 손실이나 염증을 악화시키는 것을 막는데 필수적입니다. 또한 반려동물의 경우, 주로 치과 전담의 치료가 요구됩니다. 고양이 치주염 증상이 보인다면, 반드시 전문가와의 상담을 통해 안전한 방법으로 치료해야 합니다.
치료 후에도 지속적인 관리가 필요합니다. 주기적으로 구강 관리를 통해 재발을 방지할 수 있습니다. 유지 관리로는 주기적인 스케일링, 거울로 잇몸을 살펴보는 것이 포함됩니다. 치주염증상 예방의 최선의 방법은 건강한 구강 생태계를 유지하는 것입니다. 이를 통해 환자가 다시 악화되는 것을 방지할 수 있습니다.
치료 후 좋지 않은 음식 습관이나 생활 방식이 문제가 되는 경우가 많습니다. 치주염증상 예방을 위해 무엇보다도 건강한 식습관과 올바른 구강 위생 습관을 유지하는 것이 중요합니다. 여러분의 노력이 소중한 결과를 가져옵니다.



빠른 대처 방법과 방법론
치주염증상이 느껴질 때 즉각적으로 대처하는 것이 중요합니다. 첫 번째 단계는 정확한 진단입니다. 구강 의사에게 상담하여 증상을 식별받고, 적절한 치료를 시작해야 합니다. 통증이 심할 경우 임시로 진통제를 복용할 수 있지만, 반드시 전문가의 이야기를 들어야 합니다.
잇몸이 붉고 부풀어 오르는 경우, 차가운 물이나 얼음팩을 이용해 통증을 완화할 수 있습니다. 이러한 즉각적인 조처는 일시적인 해결책이긴 하지만, 염증이 심화되지 않도록 도와줍니다. 치주염증상에 대해 스스로 대처할 수 있는 미세한 방법들도 있지만, 장기적인 해결은 전문가의 도움이 필요합니다.
또한 환자의 생활 환경을 점검해야 합니다. 고양이와 같은 반려동물의 치주염증상은 그들이 일상적으로 사용하는 음식이나 환경과 밀접합니다. 애완동물의 구강 위생 관리도 소홀히 해서는 안 됩니다. 이외에도 주의할 점은 규칙적인 식사와 스트레스를 줄이는 생활 스타일이 효과적입니다.

마지막으로, 가장 중요한 점은 사전 예방입니다. 정기적인 검진 및 치아 관리는 치주염증상의 발생을 방지할 수 있는 최선의 방법입니다. 여러분의 소중한 시간을 투자하여 유지 관리에 힘쓰세요!
결론과 요약
치주염증상은 무시할 수 없는 문제입니다. 이 블로그에서 설명한 내용을 통해 빠르게 치주염증상과 그 치료법, 그리고 즉각적인 대처 방법에 대해 알게 되셨기를 바랍니다. 소중한 자신의 치아와 구강 건강을 지키기 위해 규칙적인 관리와 주의가 필요합니다.






| 치주염징상 | 고양이 치주염증상 |
|---|---|
| 잇몸의 붉어짐 | 잇몸의 부풀어 오름 |
| 출혈 | 구취 |
| 치아 흔들림 | 음식을 씹기 어려움 |
추천 글
철원 고석정 꽃축제 개막 관람 필수 팁과 즐길 거리
철원 고석정 꽃축제가 시작되었습니다! 이 축제에서는 다양한 꽃과 아름다운 경관을 감상할 수 있는 훌륭한 기회를 제공합니다. 축제 기간, 입장료, 편리한 교통 등 유용한 정보를 얻어보세요!
g311.jhcin.kr
코골이방지기구 7일 사용기와 놀라운 변화
코골이로 고민 중이신가요? 이 글에서는 코골이방지기구 사용 후 7일 간의 경험과 그로 인해 변화된 삶을 자세히 공유합니다.코골이 방지기구의 필요성과 소개코골이는 많은 사람들, 특히 수면
g311.jhcin.kr
홍삼의효능 완벽 가이드, 진짜 효과와 섭취법
홍삼이 가진 다양한 효능과 이를 올바르게 섭취하는 방법을 알아보는 시간입니다. 홍삼의 효능과 부작용, 암환자에게 미치는 긍정적인 영향까지 깊이 탐구해 보세요.홍삼의 효능홍삼은 그 오랜
g311.jhcin.kr
자주 묻는 질문
Q1. 치주염증상은 어떻게 예방하나요?
A1: 규칙적인 구강 관리 및 치과 검진을 통해 예방할 수 있습니다.
Q2. 고양이의 치주염증상은 어떻게 관리하나요?
A2: 고양이의 구강 위생을 체크하고 주기적으로 전문의를 방문해야 합니다.
Q3. 치주염증상이 나타나면 어떤 조치를 취해야 하나요?
A3: 즉시 치과 상담을 받고, 필요 시 진통제 등의 약물을 복용하십시오.